Je vous ai quitté mi-septembre à la permanence de Martigny avec un pied dans une botte de robocop. A moins que vous ne soyez passionné par les os du pieds ou que vous cherchiez des infos concernant la rééducation post-fracture de l’astragale, passez votre chemin et revenez me voir dans quelques mois quand je pourrais à nouveau arpenter nos montagnes.
Les autres, je vous souhaite la bienvenue dans mes états d’âme, mes p’tites victoires et mes doutes de cette période un peu différente. Déjà je tiens à mettre les choses au point: le titre de ce post est un clin d’oeil. Je suis parfaitement consciente que ce n’est qu’un petit bobo dans une vie et que je n’ai absolument rien de grave. Mine de rien, ces quelques semaines m’auront fait prendre conscience de la chance incroyable que j’ai d’être en excellente santé.
Donc: 18 septembre, je rentre chez moi avec mon diagnostic et mon traitement, 4 à 6 semaine de Vacoped. C’est fou, mais quand on vous donne une fourchette, vous ne retenez que la valeur qui vous arrange. Hauts les coeurs, dans 4 semaines, c’est à dire que le 15 octobre je recours comme un cabri !
Quelques jours plus tard, rendez-vous de contrôle chez mon généraliste:
– C’est impossible de poser un diagnostic sans scanner, pourquoi ils n’ont pas fait de scanner à Martigny ?
– Euh j’en sais rien moi M’sieur, ch’suis pas toubib ….
S’en suis une longue diatribe sur les fractures du talus (l’autre nom de l’astragale) qui demandent dans la plupart des cas une intervention chirurgicale, on me parle de nécrose, de vis, de plaques… Eh l’ami, on m’a vendu 4 semaines et basta, ça sent l’arnaque tout ça.
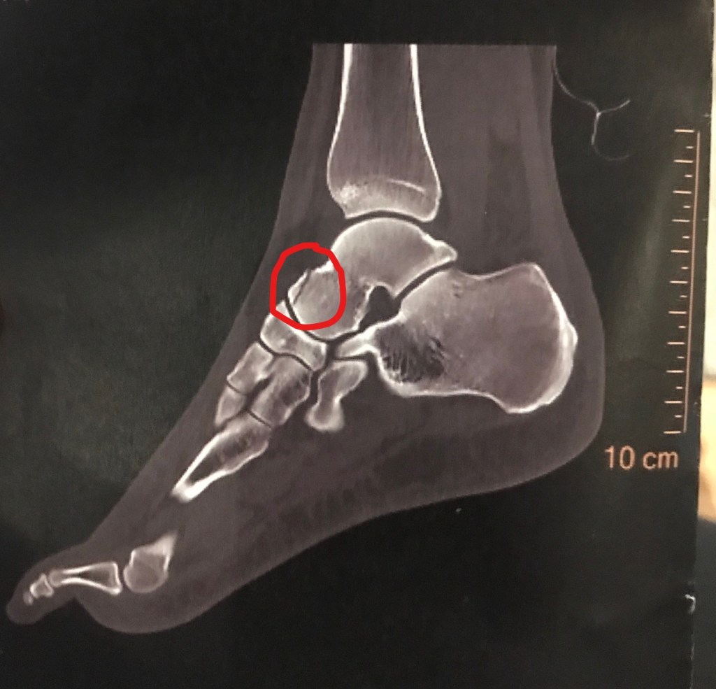
Donc à J+7, scanner. J+8, je reçois les résultats en ligne. Diagnostic: fracture articulaire de la tête de l’astragale. Je parcours le rapport du radiologue et n’y trouve pas de terme horrible du style « déplacé », « luxation ». J+9, retour chez le généraliste qui doit bien reconnaître que le diagnostic des urgentistes n’était pas complètement à la ramasse, même sans scanner, mais qui préfère m’envoyer encore confirmer tout ça chez un spécialiste.

Je mendie le droit de recommencer à travailler, du moins partiellement, vu que j’ai la chance de pouvoir bosser depuis la maison. Evidemment ce n’est pas idéal, mais c’est déjà mieux que rien et cela aura le mérite de me changer les idées.
10 jours après l’accident, j’avais prévu une journée grimpe en famille, avec le club de montagne du boulot. Heureusement, la falaise de la Barme au dessus de Champéry est accessible en voiture. Je me pose sur ma chaise de camping au bord du feu, avec plein de couvertures pour me tenir chaud et pleins de copains pour me redonner le sourire. Je suis tellement heureuse de respirer l’air frais et de griller (cramer serait plus juste) mon cervela.

J+15, rendez-vous chez le spécialiste. Très sympa, un type chaleureux et bienveillant à qui j’ai envie de faire confiance. Il me fait le coup de la bonne et de la mauvaise nouvelle… la (les) bonne (s), c’est que je n’ai pas besoin de chirurgie, que le risque de nécrose est faible, que les chances que je retrouve toutes mes (maigres) facultés est grande. La mauvaise, c’est que ça va prendre beaucoup plus de temps qu’annoncé initialement, en gros j’en ai jusqu’à Noël.
« Faudra être patiente, ma p’tite Dame » Ca tombe bien, c’est tout moi ça, la patience !
Je travaille à mi-temps depuis la maison. Deux heures le matin, ensuite je vais me recoucher avec la jambe en l’air. Deux heures l’après-midi, et je retourne me coucher. Je vous laisse calculer, mais ça en fait des heures allongées ! Je rattrape un peu de mon retard de lecture et je regarde des vidéos. J’ai aussi pleins de potes qui sont passés à la maison me tenir compagnie, me véhiculer à mes rendez-vous de toubib, me faire un bon petit repas. Je ne vais pas les nommer parce qu’ils se reconnaîteront: vous êtes choux et je vous aime ❤

J+40, radio de contrôle. Cela se ressoude bien mais lentement. L’orthopédiste me refuse encore la physio et même le drainage lymphatique. C’est trop tôt d’après lui. Je ressors un peu abattue, ça me démoralise de ne rien pouvoir faire pour faire avancer le schminblick.

J+55 je craque. La cheville est enflée et dégeu, je vais voir une lymphothérapeute qui me draine déjà un peu tout ça. Avec quelques manipulations toutes douces, l’effet est vraiment bluffant.
You can’t fall if you don’t climb. But there’s no joy in living your whole life on the gound.
18 novembre, pile deux mois après l’accident. J’ai l’impression de n’avoir pas du tout progressé. Et ce n’est pas qu’une impression. Pour me remonter le moral, Viviane m’emmène au col des Planches pour faire des grillades ! Trop chouette cet après-midi entre potes, dans la neige, à refaire le monde.




J+68: Mélanie, une copine naturopathe, me prescrit des huiles essentielles, des empâtres d’argile et des gouttes. Tout cela accompagnés des draînages lymphatiques que je continue assiduement, je commence à voir une amélioration.
J+84: Nouvelle radio de contrôle. L’os se solidifie, je peux revoyer mon Vacoped !! Mais quel instant jouissif de remettre ce truc dans son carton et de le renvoyer à l’expéditeur ! L’orthopédiste me donne aussi son feu vert pour commencer la physio et … aller à la piscine !

Je peux commencer la physio, enfin ! J’ai tout de suite eu un super contact avec Maryline: elle ne me fait pas la liste des choses que je ne peux pas faire, mais au contraire, la liste de ce que je peux et ce qu’il faut que je fasse. Ca a l’air tout bête comme ça, mais ça me change la vie et mon moral remonte en flèche.
J + 87: Du coup, retour au fit à Collombey où Janique prend les choses en main et me fait un programme du tonnerre pour remuscler un peu le molusque que je suis devenu tout en ménageant mon articulation encore défaillante.
J + 89: Passage chez le rouleau-compresseur, Chloé, mon ostéopathe depuis belle lurette. C’est génial d’avoir mal, quand on sait que c’est pour la bonne cause. Elle me dit qu’elle ne ferait pas ça à une autre patiente, mais qu’elle sait que je suis une solide… ça me fait bien marrer. Elle est trop cool Chloé.
31.12.2019 …. Je remet les skis ! C’est modeste, très modeste, mais purée que c’est bon !

Les mois de janvier et février se passent nickel, physio à fond, ski le week-end sans soucis. Le COVID-19 mettera fin prématurement à la saison de ski, et les premiers pas en baskets sur des chemins forestiers, puis des chemins de montagnes faciles sont un peu douloureux, mais rien de plus.
le 21 mai, je suis remontée un couloir en neige bien dure en crampons et ai fait ma première longueur (en 4a je crois ….) en tête ! Y a pas de petite victoire 😉 Je met donc un point final à cette aventure et à se post, en espérant n’avoir jamais à le réouvrir, non sans une pensée pour tout le personnel médical qui m’a accompagné dans ma guérison, et pour ma famille et mes amis qui m’ont supportée, au propre comme au figuré !

Tu as vraiment trouvé le nom l’astragalère c’est tout à fait ça. Quelle patience il t’aura fallu ma chérie courage je me réjouis de te retrouver vendredi pour une petite escapade… je te fais un gros câlin et t’embrasse bien fort ❤️❤️😘😘
Oh mais purée…. je n’ose même pas imaginer vivre ça un jour. Je pense fort à toi depuis le début, même si je suis un peu silencieuse. Tu es là 🙂 Si tu as besoin de quoi que ce soit, n’hésite surtout pas! Je me vois bien t’apporter l’apéro un vendredi soir pour éviter la déprime du vendredi soir quand tu ne peux rien faire le lendemain. Allez bisous coupine. ❤